Ready to Schedule An Appointment?
Text Us!
2501 Dallas Street, Suite 224, Aurora, CO 80010
303-399-1488
SCHEDULE AN APPOINTMENT
Home
About
Our Team
Services
Preventive
Dental Exam & Cleanings
Restorative
Root Canals
Dental Implants
Tooth Extraction
Dentures
Dental Crowns & Bridges
Cosmetic
Dermal Fillers
Invisalign
Teeth Whitening
Veneers
Emergency
Financial
Testimonials
Smile Gallery
Blog
Contact
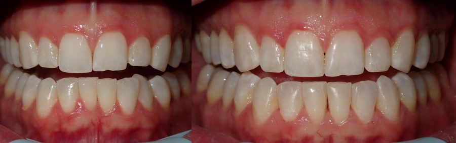
Smile Gallery
full mouth rehab-veeners and crowns
Whitening
Invisalign
Veneers
© 2026 Dental Solutions of Central Park •
Privacy Policy
.
Home
About
Our Team
Services
Preventive
Dental Exam & Cleanings
Restorative
Root Canals
Dental Implants
Tooth Extraction
Dentures
Dental Crowns & Bridges
Cosmetic
Dermal Fillers
Invisalign
Teeth Whitening
Veneers
Emergency
Financial
Testimonials
Smile Gallery
Blog
Contact
× Close Panel